Nutrição e Cuidados com Casco de Equinos
Nutrição e cuidados com casco de Equinos
Introdução
Os cascos são a base — literalmente — da saúde e bem-estar de um cavalo. Já ouviu aquela expressão: “sem casco, sem cavalo”? Pois é. Essa frase resume bem o quão essencial é cuidar dessa estrutura. A saúde dos cascos de cavalos depende diretamente de uma combinação entre boa nutrição, manejo adequado e atenção diária. E, acredite, a alimentação tem tudo a ver com isso. Um casco bem nutrido é sinônimo de resistência, funcionalidade e desempenho — e o contrário também é verdadeiro: quando a alimentação falha, os cascos sofrem primeiro.

Vamos juntos entender como manter os cascos sempre firmes, saudáveis e prontos pro galope?
Estrutura e função do casco
Anatomia básica do casco equino
O casco é composto por várias partes, incluindo a muralha, sola, ranilha e linha branca. Cada uma dessas estruturas tem funções específicas:
- Muralha: Parte externa que suporta a maior parte do peso.
- Sola: Superfície inferior que protege as estruturas internas.
- Ranilha: Estrutura em forma de "V" que auxilia na absorção de impactos.
- Linha branca: Área de junção entre a muralha e a sola.
A compreensão da anatomia do casco é fundamental para identificar e tratar problemas precocemente.

O casco funciona como um amortecedor natural, absorvendo os impactos durante a movimentação. Ele também distribui o peso do cavalo de maneira equilibrada, permitindo uma locomoção eficiente e confortável. Problemas no casco podem levar a alterações na marcha, claudicação e até mesmo lesões em outras partes do aparelho locomotor .
Principais problemas nos cascos
Laminite
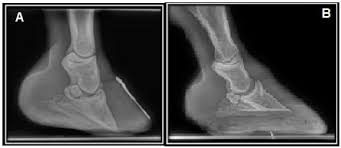
A laminite é uma inflamação dolorosa das lâminas sensíveis do casco. Pode ser causada por diversos fatores, incluindo excesso de grãos na dieta, obesidade e sobrecarga nos membros. Os sinais clínicos incluem claudicação, aumento da temperatura no casco e postura anormal. O tratamento envolve controle da dor, mudanças na dieta e, em casos graves, intervenção cirúrgica.

Cascos quebradiços
Cascos quebradiços são frequentemente resultado de deficiências nutricionais, especialmente de biotina, zinco e cobre. Ambientes secos ou úmidos em excesso também podem contribuir para a fragilidade do casco. A suplementação adequada e o manejo ambiental são essenciais para prevenir e tratar esse problema.

Infecções e podridão do casco
Ambientes úmidos e sujos podem levar ao desenvolvimento de infecções bacterianas e fúngicas no casco, resultando em podridão da ranilha. Os sinais incluem odor fétido, secreção escura e sensibilidade ao toque. A limpeza regular e o uso de desinfetantes apropriados são medidas preventivas eficazes .La Vizoo
Nutrição adequada para cascos saudáveis
Vitaminas essenciais
A biotina é uma vitamina do complexo B crucial para a formação da queratina. Estudos indicam que a suplementação com 15 a 30 mg de biotina por dia pode melhorar significativamente a qualidade dos cascos . A vitamina A é importante para a renovação celular, enquanto a vitamina E atua como antioxidante, protegendo as células do casco contra danos oxidativos.

Minerais importantes
Minerais como zinco, cobre e selênio são essenciais para a integridade do casco. O zinco e o cobre participam da formação da queratina, enquanto o selênio, em doses adequadas, atua como antioxidante. A deficiência desses minerais pode levar a cascos frágeis e suscetíveis a infecções.

- Zinco e cobre: fundamentais para a formação da queratina.
- Selênio: em dose correta, protege contra processos inflamatórios.
Proteínas e aminoácidos
As proteínas são fundamentais para a formação da queratina. Aminoácidos como metionina e lisina desempenham papéis específicos na síntese de proteínas estruturais do casco. A deficiência desses aminoácidos pode comprometer a integridade e a resistência dos cascos.

Importância do equilíbrio na dieta
O equilíbrio nutricional é essencial para a saúde geral do cavalo e, consequentemente, dos seus cascos. Excessos ou deficiências de nutrientes podem levar a problemas como laminite ou cascos quebradiços. A consulta com um nutricionista equino é recomendada para formular uma dieta adequada às necessidades específicas do animal.
Suplementação alimentar para fortalecimento dos cascos
Quando suplementar?
A suplementação alimentar se torna necessária quando a dieta base não consegue suprir todos os nutrientes essenciais para a saúde dos cascos. Isso é comum em cavalos com alta exigência nutricional, como atletas, reprodutores ou animais em recuperação de doenças. Além disso, cavalos que vivem em regiões com solos pobres em certos minerais, como o selênio, podem se beneficiar com suplementações direcionadas.
A observação dos sinais clínicos também é fundamental: casco frágil, demora no crescimento, rachaduras e infecções recorrentes indicam a necessidade de reforço nutricional. Vale lembrar que o excesso de nutrientes pode ser tão prejudicial quanto sua falta, e a suplementação deve sempre ser orientada por um veterinário ou zootecnista.
Tipos de suplementos e como escolher
Os suplementos mais indicados para a saúde dos cascos incluem:
- Suplementos ricos em biotina – estimulam o crescimento e fortalecem a parede do casco.
- Suplementos minerais – com zinco, cobre, selênio, em formas quelatadas (orgânicas), mais biodisponíveis.
- Aminoácidos essenciais – metionina, lisina e cistina, importantes para síntese proteica.
- Misturas comerciais – combinam vitaminas, minerais e proteínas, facilitando o manejo.
Para escolher o suplemento ideal, deve-se considerar a condição atual do animal, seu nível de atividade, idade, histórico clínico e a composição da dieta base. Produtos de qualidade devem ter certificações, recomendações de dosagem claras e ser isentos de substâncias proibidas em competições.
Manejo e higiene dos cascos
Limpeza e inspeção diária
A limpeza e inspeção diária dos cascos devem ser rotina obrigatória. Além de remover fezes, barro, pedras e sujeiras acumuladas, essa prática permite detectar precocemente ferimentos, mau cheiro (sinal de infecção) ou alterações na textura e coloração da sola e ranilha.
Usa-se um limpador de casco ("limpa casco") com gancho e escova. O ideal é levantar a pata do cavalo com cuidado, garantir que ele esteja calmo e realizar a limpeza do centro da ranilha para fora, sem aplicar força excessiva.
Inspecionar os cascos com atenção pode evitar semanas de tratamento e gastos com medicamentos. Além disso, fortalece o vínculo entre o tratador e o cavalo.

A importância da ferradura e do ferrador
Ferraduras não são apenas "sapatos" para cavalos. Elas protegem os cascos contra desgaste excessivo, principalmente em animais que trabalham em terrenos duros ou em atividades intensas como salto, enduro e vaquejada.
Um bom ferrador é essencial. Ele identifica desequilíbrios na pisada, ajusta o ferrageamento conforme a atividade e condição do cavalo e pode evitar lesões articulares e tendíneas. Ferrageamentos mal feitos podem causar mais mal que bem, provocando dores, deformações e quedas de desempenho.
O intervalo médio para troca ou manutenção das ferraduras é de 30 a 45 dias, mas isso varia de acordo com o animal.

Pistas, piquetes e umidade
O ambiente onde o cavalo vive influencia diretamente a saúde de seus cascos. Terrenos encharcados promovem o surgimento de podridão da ranilha, enquanto locais muito secos podem causar trincas e ressecamento.
O ideal é que os piquetes e pistas tenham drenagem adequada. Alternar entre solo natural e piso arenoso ajuda na manutenção da saúde do casco. É importante ainda evitar exposição prolongada à lama, urina acumulada e fezes.
Em locais secos, recomenda-se o uso de hidratantes próprios para casco, como óleos naturais ou produtos veterinários indicados.

Influência do ambiente na saúde dos cascos
Terreno e piso
Cavalos criados em terrenos variados tendem a desenvolver cascos mais fortes. Já solos muito duros (cimento, pedra) ou macios demais (lama, areia fofa) podem provocar desgaste irregular, deformações ou problemas como laminite.
Idealmente, deve-se alternar pisos naturais com pisos preparados, como areia compactada ou brita fina. As instalações (baias e pistas) devem possuir escoamento eficiente e piso antiderrapante.
A presença de pedregulhos pode gerar lesões na sola, especialmente se o cavalo estiver sem ferradura. Nesses casos, o uso de ferraduras ou botas ortopédicas pode ser uma solução.

Condições climáticas
Chuvas constantes aumentam o risco de infecções no casco. Já períodos muito secos ressecam a queratina, causando trincas e esfarelamento.
Durante o verão, recomenda-se intensificar a hidratação externa dos cascos. No inverno, a limpeza e secagem devem ser reforçadas após cada exercício ou saída do estábulo.
O uso de palhas, maravalhas e pisos drenantes dentro das baias ajuda a manter o casco seco e limpo em qualquer época do ano.
Cuidados especiais em diferentes fases da vida do cavalo
Potros em crescimento
Os potros requerem atenção redobrada em relação ao desenvolvimento dos cascos. Durante os primeiros meses de vida, os cascos ainda estão em formação e são extremamente sensíveis a desequilíbrios nutricionais, manejo inadequado e pisos irregulares.
A alimentação deve ser balanceada, rica em minerais como cálcio, fósforo, zinco e cobre, além de conter vitaminas essenciais para a formação óssea e da queratina. Erros nutricionais nesta fase podem causar deformidades permanentes, como aprumos incorretos e contraturas.
A inspeção regular dos cascos é recomendada desde os primeiros dias de vida, com acompanhamento de um ferrador experiente e veterinário especializado em ortopedia equina.
Cavalos adultos em atividade
Cavalos que estão em atividade esportiva ou de trabalho exigem cuidados específicos com os cascos, já que são submetidos a impactos constantes e ambientes variados.
A nutrição precisa ser ajustada à carga de esforço físico. Suplementos contendo biotina, aminoácidos e minerais são frequentemente indicados para manter a resistência e a elasticidade da parede do casco. O intervalo entre as ferragens deve ser rigorosamente respeitado, geralmente entre 30 a 40 dias.
Além disso, esses cavalos estão mais expostos a lesões traumáticas, como contusões na sola e trincas, sendo fundamental o uso de equipamentos adequados, como botas protetoras em atividades específicas.
Cavalos idosos
Nos cavalos idosos, os cascos tornam-se naturalmente mais frágeis devido à diminuição da atividade celular e renovação da queratina. Além disso, muitos sofrem de doenças articulares, o que exige maior atenção ao equilíbrio corporal e à correção da pisada.
A dieta deve ser rica em antioxidantes, proteínas de alta digestibilidade e minerais que auxiliem na manutenção da integridade das estruturas do casco. O acompanhamento com veterinário deve ser mais frequente, assim como inspeções do ferrador, que pode optar por ferraduras especiais ou uso de resinas ortopédicas.
Casos práticos e dicas de campo
O que observar no dia a dia
Observar pequenos sinais diariamente pode evitar problemas sérios. Alguns aspectos que devem ser monitorados:
- Presença de rachaduras – indicam casco seco ou deficiências nutricionais.
- Mau cheiro – sinal de podridão da ranilha ou infecção bacteriana.
- Sensibilidade ao toque – dor localizada pode ser indício de abscesso ou lesão.
- Mudança na coloração da sola – pode indicar hematomas ou necrose.
- Postura alterada – animal evitando pisar corretamente ou apoiando mais um membro que outro.
Um check-up rápido durante a escovação diária já ajuda a identificar precocemente esses sinais.
Sinais de alerta
Alguns sinais não devem ser ignorados em hipótese alguma:
- Calor excessivo no casco.
- Claudicação súbita.
- Pus ou secreções.
- Desvio da linha do casco.
- Deformações na muralha ou na ranilha.
Esses sintomas indicam condições graves como laminite, abscessos, fraturas ou infecções profundas. Nesses casos, a consulta com um veterinário deve ser imediata.

Quando procurar um veterinário ou especialista?
Sempre que houver sinais fora do comum: dor,Mudanças comportamentais associadas à dor nos membros.
Deformidades visíveis no casco.
Episódios recorrentes de laminite, podridão ou abscessos, dificuldades de locomoção sem causa aparente, deformação, sangramentos, odor forte ou mudança de comportamento. Melhor prevenir que remediar.
Conclusão
A saúde dos cascos é o reflexo direto do cuidado que o cavalo recebe. Uma boa alimentação, manejo correto, ambiente limpo e acompanhamento profissional garantem que seu parceiro de sela esteja sempre pronto para qualquer desafio. Afinal, o cavalo pode até ter alma livre, mas precisa de uma base firme pra seguir em frente — e essa base começa pelos cascos.